-
Trump es agasajado en sorteo del Mundial y acepta con orgullo un Premio de la Paz
-
Sospechoso en caso de bombas cerca del Capitolio de EEUU comparece ante la corte
-
El Mundial de 2026 revela sus grupos en un sorteo que homenajea a Trump
-
Muere el arquitecto Frank Gehry, maestro del deconstructivismo
-
Trump aprovecha el sorteo del Mundial para lucirse y aceptar con orgullo un Premio de la Paz
-
Cinco grandes obras del arquitecto Frank Gehry
-
Egipto, Catar y otros países expresan preocupación por apertura por Israel de paso sólo para salida de Gaza
-
El Mundial conoce sus grupos tras un sorteo con un Trump protagónico
-
El banco Santander acepta pagar 22,5 millones de euros para cerrar un caso de blanqueamiento en Francia
-
Un Donald Trump dichoso recibe el primer Premio de la Paz de la FIFA
-
La FIFA le entrega su Premio de la Paz a Trump en inicio del sorteo del Mundial
-
Hallazgo de estatuillas en una tumba resuelve un misterio en una necrópolis de Egipto
-
Otro bolso Birkin que perteneció a Jane Birkin fue subastado por 2,8 millones de dólares en Abu Dabi
-
El planeta fútbol aguarda el sorteo del Mundial con Trump en el centro
-
El gobierno español "no excluye" que el origen del foco de peste porcina africana sea una fuga de laboratorio
-
La inflación en EEUU volvió subir en septiembre, al 2,8% anual
-
Meta se asocia con medios de comunicación para ampliar el contenido de su asistente de IA
-
Delegaciones de Ucrania y EEUU sostendrán otra reunión en Miami este viernes
-
Trump revive la Doctrina Monroe para América Latina
-
Norris vuelve a superar a Verstappen en los segundos libres de Abu Dabi
-
Milei anuncia el regreso de Argentina al mercado internacional de deuda
-
Putin seguirá suministrando petróleo a India, pese a la presión de EEUU
-
Frente al negacionismo, el jefe del IPCC recuerda el rol de los humanos en el cambio climático
-
Macron urge mantener el "esfuerzo de guerra" en favor de Ucrania al cierre de su visita en China
-
El Parlamento alemán adopta un proyecto para implantar un servicio militar voluntario
-
Netflix comprará Warner Bros Discovery por casi 83.000 millones de dólares
-
World Athletics abandona su controvertida reforma del salto de longitud
-
La UE impone una multa de 120 millones de euros a X, la red social de Elon Musk
-
Norris supera por poco a Verstappen en los primeros ensayos de Abu Dabi
-
El Mundial de 2026, una ocasión inmejorable para el lucimiento de Trump
-
Putin seguirá suministrando petróleo a India, pese a presión de EEUU
-
Venezuela elige reina de belleza en medio de la tensión militar con EEUU
-
La justicia turca ordena el arresto de 29 futbolistas en el caso de las apuestas
-
Trump quiere reajustar la presencia global de EEUU y aumentar el predominio en América Latina, según su nueva estrategia global
-
Un gran jurado decide no acusar a la fiscal general de Nueva York, enemiga de Trump
-
La política de Trump lleva a la legendaria cantante de folk Joan Baez a volver al estudio
-
La producción industrial en España sigue al alza en octubre
-
OpenAI llega a un acuerdo para construir un centro de IA de 4.600 millones en Australia
-
Un nuevo ataque de EEUU a una supuesta narcolancha en el Pacífico causa cuatro muertos
-
La policía recupera el huevo de Fabergé que un ladrón se tragó en Nueva Zelanda
-
Venezuela queda aislada tras la suspensión de vuelos de las aerolíneas internacionales
-
Jefe de Softbank dice que una super-IA podría convertir a humanos "en peces" o ganar un Nobel
-
Un sorteo por todo lo alto para el Mundial XXL con Trump como superstar
-
TikTok cumplirá con la prohibición de redes sociales a menores de 16 años en Australia
-
Lluvias dificultan limpieza en Sri Lanka tras inundaciones que azotaron varios países de Asia
-
OpenAI llega a un acuerdo para construir centro de IA de USD 4.600 millones en Australia
-
Corte aprueba el despliegue provisional de Guardia Nacional en Washington
-
La 13.ª Conferencia Global de Logística de la GLA concluye con éxito en Bangkok, Tailandia
-
Consejo de Seguridad de la ONU afirma estar dispuesto a apoyar a Siria durante visita
-
Las aerolíneas panameñas Copa Airlines y Wingo suspenden vuelos a Venezuela por dos días
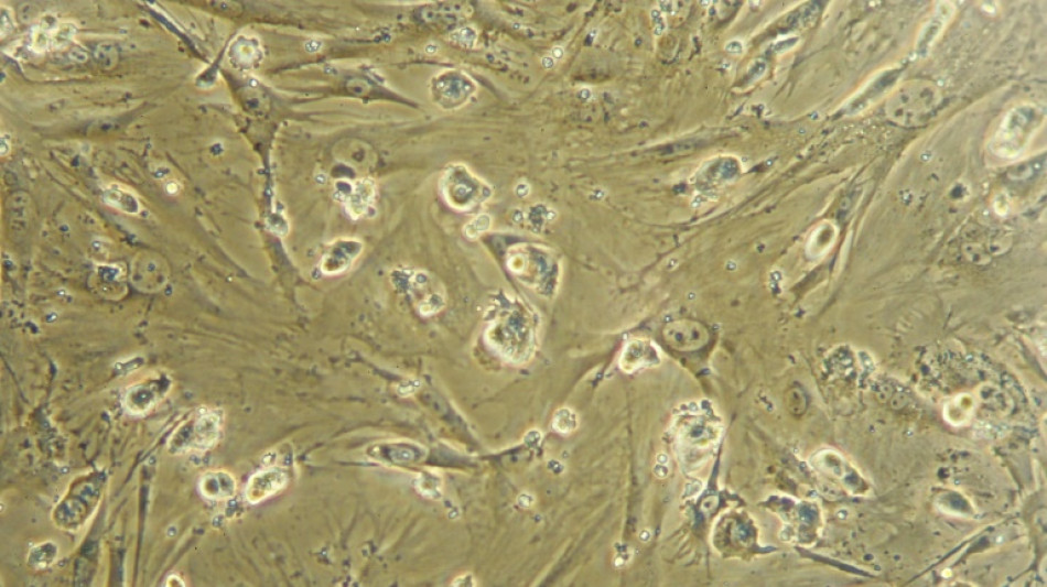
Científicos japoneses logran avances en lesiones medulares con un tratamiento de células madre
Un tratamiento pionero con células madre ayudó a mejorar la función motora de dos de cuatro pacientes con lesiones de la médula espinal en el primer estudio clínico de este tipo, anunciaron los científicos japoneses que lo llevaron a cabo.
En la actualidad no existe ningún tratamiento eficaz para la parálisis causada por lesiones graves de la médula espinal.
Los investigadores de la Universidad Keio de Tokio realizaron su estudio con células madre pluripotentes inducidas (iPS).
Las células iPS, creadas a partir de células adultas, se reprograman genéticamente para multiplicarse en cualquier tipo de célula, dependiendo del lugar del cuerpo donde se trasplanten.
La universidad japonesa afirmó el viernes que la función motora de dos pacientes mejoró tras un trasplante de dos millones de células iPS en su médula espinal.
"Hemos podido obtener resultados para el primer tratamiento mundial de la médula espinal con células iPS", declaró a la cadena pública NHK Hideyuki Okano, profesor de Keio a cargo de la investigación clínica.
El principal objetivo de este estudio clínico era confirmar la seguridad de este método de tratamiento.
Uno de los dos pacientes trasplantados, un anciano herido en un accidente, es ahora capaz de mantenerse en pie sin apoyo y está entrenándose para caminar, informó NHK.
La Universidad de Keio recibió la autorización de las autoridades japonesas en 2019 para esta investigación pionera, que se retrasó debido a la pandemia de covid-19.
Los detalles de los pacientes se han mantenido confidenciales, pero el equipo médico se está centrando en personas con lesiones medulares muy recientes, de entre 14 a 28 días antes de la operación.
A.F.Rosado--PC