-
Odessa sotto attacco, danni a edifici residenziali e pubblici
-
Netflix difende in Congresso la sua acquisizione di Warner
-
Calcio: Inghilterra, l'Arsenal batte il Chelsea e va in finale di Coppa di Lega
-
Il Milan vince 3-0 a Bologna e accorcia sull'Inter
-
Venezuela, studenti in piazza per l'amnistia e la libertà dei prigionieri politici
-
La figlia di Raul Castro, 'con l'imperialismo niente negoziati'
-
Ciclismo: Europei pista, bronzo di Favero nell'inseguimento individuale
-
Cucinelli, 'in Italia i migliori manifatturieri, ma gli operai vanno pagati di più'
-
Al Arabiya, Saif Gheddafi ucciso durante scontri tra milizie a Zintan
-
Media libici, morto Saif al-Islam Gheddafi, uno dei figli del rais
-
Giorno memoria rom e sinti, emoziona concerto Spinelli alla Carnegie Hall
-
Un mistero medico di 12mila anni fa risolto grazie al Dna antico
-
F1: Daily Mail, Hamilton si separa dal suo manager Hynes
-
Ondata di freddo a Cuba, raggiunti gli zero gradi
-
Pieraccioni, '30 anni da Il Ciclone, mi sembra frazione di secondo'
-
Agenzia entrate, adempimento collaborativo apre alle piccole e medie imprese
-
Io+Te, Paolillo e Pantano in una storia d'amore intensa e contemporanea
-
Scoperte le onde cerebrali che determinano la percezione del sé corporeo
-
Cinema, #siamoaititolidicoda aderisce all'Usb
-
Sanremo dalla A alla Z, ci sono anche Totò e il Califfo
-
Borsa: Milano chiude positiva con l'Europa debole, scivola Nexi
-
Il prezzo del gas chiude in calo a 32,86 euro al megawattora
-
Lo spread tra Btp e Bund chiude in calo a 60 punti
-
Cam Sugar amplia il suo catalogo con l'acquisizione di Cecchi Gori Music
-
Inail, nel 2025 aumentano infortuni studenti a scuola, 8 i morti
-
F1: la Williams svela online la livrea della monoposto 2026
-
eBay sfida TikTok e lancia in Italia lo shopping in tempo reale
-
Le cellule del naso uniscono le forze contro il virus del raffreddore
-
Milano Cortina:'non sono competitivo', il norvegese Kilde rinuncia ai Giochi
-
E' caro-Fido, 149 euro l'aumento medio per mantenere cani e gatti
-
Mandelson si dimette da lord per lo scandalo Epstein
-
Robbie Williams cerca di chiamare i fan anni '90 ma il numero non funziona
-
Rob, dopo X Factor il nuovo singolo La mia storia
-
Ha-Chan, Shake Your Booty!, ballare con il lutto e il desiderio
-
Kings League annuncia un round di investimento da 63 milioni di dollari
-
Francesco Renga, in autunno in tour nei teatri
-
Agens, Fand e Fish insieme per abbattere le barriere del trasporto pubblico
-
Luna, Rinviato a marzo il lancio di Artemis II con 4 astronauti
-
LDA e Aka 7even, il 6 marzo il primo album insieme Poesie clandestine
-
Presentato al Tevere Remo il libro 'Diritto dello sport'
-
Arera, a gennaio +10,5% in bolletta del gas per i vulnerabili
-
Macron, 'si lavora alla ripresa del dialogo con Putin'
-
Alis, dal 10 al 13 marzo alla fiera di Verona torna LetExpo
-
Jovanotti nelle stanze del Quirinale dopo la nomina a commendatore
-
PayPal nomina un nuovo Ceo, risultati trimestre deludono
-
Metheny, Miller, Krall e Bollani nell'estate jazz di Musica per Roma
-
Serie B: 10 giocatori squalificati per un turno
-
Riccardo Muti dirige Macbeth al Regio di Torino
-
Musk unisce SpaceX e xAI, nasce colosso da 1.250 miliardi
-
Le immagini amatoriali di Cortina 1956 sulla piattaforma Memoryscapes
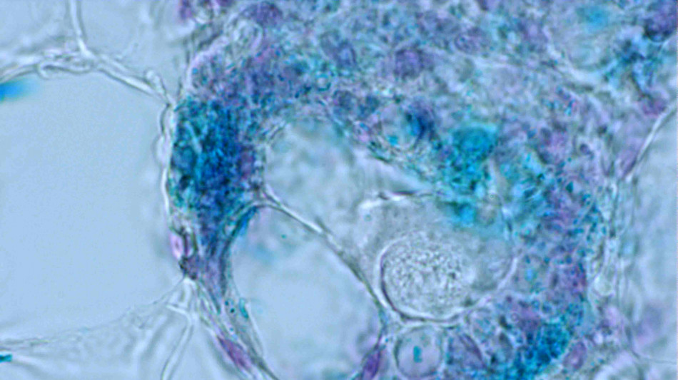
Tumore seno, farmaco aumenta sopravvivenza senza peggioramento
-62% rischio progressione o morte in pazienti con mutazione Esr1
Passi avanti nel trattamento del carcinoma mammario avanzato Er-positivo, che rappresenta circa il 70% dei casi di carcinoma mammario: i risultati dello studio di fase 3 'evEra Breast Cancer', presentati al Congresso dell'European Society for Medical Oncology (Esmo) in corso a Berlino, hanno dimostrato che la molecola giredestrant in combinazione con everolimus riduce significativamente il rischio di progressione di malattia o morte (sopravvivenza libera da progressione) del 44% nelle popolazioni intention-to-treat (Itt) e del 62% nelle pazienti con mutazione Esr1, rispetto alla terapia endocrina standard più everolimus. Lo studio valuta la combinazione di giredestrant nelle pazienti con carcinoma mammario localmente avanzato o metastatico positivo al recettore degli estrogeni, negativo al recettore del fattore di crescita epidermico umano di tipo 2, precedentemente trattate con un inibitore delle chinasi ciclina-dipendenti 4 e 6 e terapia endocrina. Si tratta del primo studio di fase 3 testa a testa che indaga un regime contenente un degradatore selettivo del recettore degli estrogeni rispetto a una combinazione standard di cura che ha mostrato un risultato positivo. I dati saranno condivisi con le autorità regolatorie, con l'obiettivo di rendere disponibile alle pazienti il prima possibile questa nuova opzione terapeutica. In questo tipo di carcinoma, la resistenza alle terapie endocrine, in particolare nel setting post-inibitore di Cdk4/6, aumenta il rischio di progressione di malattia ed è associata a scarsi risultati clinici. Le terapie di combinazione orali, come giredestrant più everolimus, agendo su due diverse vie di segnalazione, potrebbero migliorare i risultati di efficacia e, al contempo, ridurre l'impatto del trattamento sulla qualità di vita delle pazienti. "Il beneficio clinicamente significativo osservato con la combinazione orale di giredestrant più everolimus è un risultato molto incoraggiante e testimonia il suo potenziale impatto nel migliorare gli esiti in un profilo di pazienti che hanno un forte bisogno di nuove opzioni terapeutiche", spiega Erica L. Mayer, oncologa medica presso il Dana-Farber Cancer Institute di Boston.
R.Veloso--PC