-
Matthews latest England World Cup-winner out of Women's Six Nations
-
Race to find port for cruise ship battling deadly rodent virus
-
Celtic's O'Neill says Hearts' rise good for Scottish football
-
Ethiopia and Sudan accuse each other of attacks
-
Injured Mbappe faces backlash over Sardinia trip before Clasico
-
Vodafone to take full ownership of UK mobile operator
-
Stocks advance, oil falls as traders eye US-Iran ceasefire
-
Sabalenka ready to boycott Grand Slams over prize money
-
Boko Haram attack on Chad army base kills at least 24: military, local officials
-
US trade gap widens in March as AI spending boosts imports
-
US threatens 'devastating' response to any Iran attack on shipping
-
Murphy warns snooker hopefuls to 'work harder' to match Chinese stars
-
Race to find port for hantavirus-stricken cruise ship
-
Romanian pro-EU PM loses no-confidence motion
-
Edin Terzic to become Athletic Bilbao coach next season
-
Borthwick backed by RFU to take England to 2027 Rugby World Cup
-
EU hails 'leap forward' in ties with Russia's ally Armenia
-
German car-ramming suspect had mental health problems: reports
-
Pyongyang calling: North Korea shows off own-brand phones
-
Iran warns 'not even started' in Hormuz
-
World body in dark over allegations against China badminton chief
-
Asian stocks drop amid fears over US-Iran ceasefire
-
China fireworks factory explosion kills 26, injures 61
-
China hails 'our era' as Wu Yize's world snooker triumph goes viral
-
Ex-model accuses French scout of grooming her for Epstein
-
Timberwolves eclipse Spurs as Knicks rout Sixers
-
Taiwan leader says island has 'right to engage with the world'
-
Yoko says oh no to 'John Lemon' beer
-
Bayern's Kompany promises repeat fireworks in PSG Champions League semi
-
A coaching great? Luis Enrique has PSG on brink of another Champions League final
-
Top five moments from the Met Gala
-
Brunson leads Knicks in rout of Sixers
-
Retiring great Sophie Devine wants New Zealand back playing Tests
-
Ukraine pressures Russia as midnight ceasefire looms
-
Stocks sink amid fears over US-Iran ceasefire
-
G7 trade ministers set to meet but not discuss latest US tariff threat
-
Sherlock Holmes fans recreate fateful duel at Swiss falls
-
Premier League losses soar for clubs locked in 'arms race'
-
'Spreading like wildfire': Fiji grapples with soaring HIV cases
-
For Israel's Circassians, food and language sustain an ancient heritage
-
'Super El Nino' raises fears for Asia reeling from Middle East conflict
-
Trouble in paradise: Colombia tourist jewel plagued by violence
-
Death toll in Brazil small plane crash rises to three
-
Pulitzers honor damning coverage of Trump and his policies
-
Lawline Exits Beta and Launches Full AI Legal Platform for Businesses and Individuals
-
Digi Power X Signs AI Colocation Agreement with Leading AI Compute Company for 40 MW Data Center in Columbiana, Alabama
-
Camino Appointments Senior Management to Build and Operate the Puquios Copper Mine in Chile and for Corporate Development
-
LA fire suspect had grudge against wealthy: prosecutors
-
US-Iran ceasefire on brink as UAE reports attacks
-
Stars shine at Met Gala, fashion's biggest night
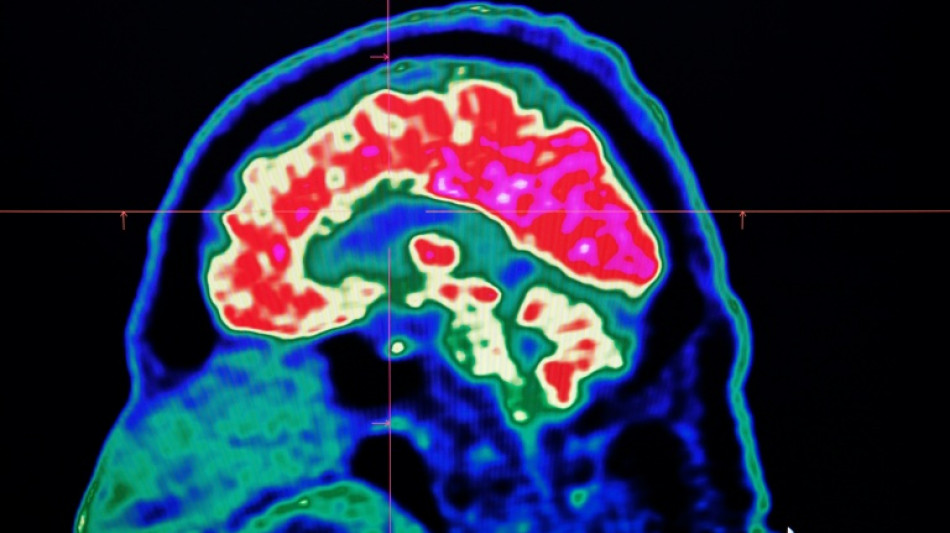
Final report casts doubt on existence of Canada mystery brain illness
A Canadian medical report published Friday found no evidence linking environmental factors to an unusual set of neurological symptoms affecting hundreds of people, a five-year saga that has shaken a small Atlantic province.
In 2021, health officials in New Brunswick launched an investigation involving 48 patients with a range of neurological symptoms but no apparent common illness. These included muscle spasms, memory loss, hallucinations and balance issues.
Some in the province of less than a million people began describing the condition as a mystery brain disease.
Provincial officials said at the time that the patient group could be suffering from a new disease not previously seen in Canada and began using the term "possible neurological syndrome of unknown cause."
But the provincial investigations that followed, including the final report released Friday, dismissed claims that there was anything linking the patients other than a reported set of symptoms -- and a single neurologist, named Alier Marrero.
The first investigation, which concluded in 2022, "found no evidence of a common illness among these patients."
But in 2023, Marrero reported additional people complaining of neurological symptoms and the patients' stories continued receiving widespread media coverage.
Marrero said that while the condition could not be diagnosed, he believed the patients had elevated levels of certain substances -- like herbicides or toxic metals -- in their systems, suggesting an environmental cause for the illness.
- 'Unanswered questions' -
New Brunswick launched a new investigation, this time looking at data from 222 patients, about 75 percent of whom lived in or around the city of Moncton.
A Journal of the American Medical Association study published last year found no evidence of a common mystery disease, either.
But New Brunswick Premier Susan Holt said in May that her government would do what it could to provide patients "the information they need about what's causing these illnesses."
"There's too many unanswered questions for us to stop the work," Holt said.
Investigators studied living patients and analyzed autopsies.
The report released Friday would appear to close the case from the government's perspective.
"We are able to conclude that our investigation found no evidence of a widespread issue among this patient group," the report said.
"We do not feel that exposure to these substances is a contributing factor to most patients' illness," it added.
The report also pointed to concerns with Marrero's work.
"Patients were reported to (the province) as having an undiagnosed illness; however, our findings suggest that it is possible that many patients do have illnesses that can be diagnosed," it said.
The report also recommended that before a neurological condition is declared "undiagnosed," a patient must be seen by two specialists.
J.Oliveira--PC