-
Dupont wants more after France sparkle and then wobble against Ireland
-
Cuba says willing to talk to US, 'without pressure'
-
NFL names 49ers to face Rams in Aussie regular-season debut
-
Bielle-Biarrey sparkles as rampant France beat Ireland in Six Nations
-
Flame arrives in Milan for Winter Olympics ceremony
-
Olympic big air champion Su survives scare
-
89 kidnapped Nigerian Christians released
-
Cuba willing to talk to US, 'without pressure'
-
Famine spreading in Sudan's Darfur, UN-backed experts warn
-
2026 Winter Olympics flame arrives in Milan
-
Congo-Brazzaville's veteran president declares re-election run
-
Olympic snowboard star Chloe Kim proud to represent 'diverse' USA
-
Iran filmmaker Panahi fears Iranians' interests will be 'sacrificed' in US talks
-
Leicester at risk of relegation after six-point deduction
-
Deadly storm sparks floods in Spain, raises calls to postpone Portugal vote
-
Trump urges new nuclear treaty after Russia agreement ends
-
'Burned in their houses': Nigerians recount horror of massacre
-
Carney scraps Canada EV sales mandate, affirms auto sector's future is electric
-
Emotional reunions, dashed hopes as Ukraine soldiers released
-
Bad Bunny promises to bring Puerto Rican culture to Super Bowl
-
Venezuela amnesty bill excludes gross rights abuses under Chavez, Maduro
-
Lower pollution during Covid boosted methane: study
-
Doping chiefs vow to look into Olympic ski jumping 'penis injection' claims
-
England's Feyi-Waboso in injury scare ahead of Six Nations opener
-
EU defends Spain after Telegram founder criticism
-
Novo Nordisk vows legal action to protect Wegovy pill
-
Swiss rivalry is fun -- until Games start, says Odermatt
-
Canadian snowboarder McMorris eyes slopestyle after crash at Olympics
-
Deadly storm sparks floods in Spain, disrupts Portugal vote
-
Ukrainian flag bearer proud to show his country is still standing
-
Carney scraps Canada EV sales mandate
-
Morocco says evacuated 140,000 people due to severe weather
-
Spurs boss Frank says Romero outburst 'dealt with internally'
-
Giannis suitors make deals as NBA trade deadline nears
-
Carrick stresses significance of Munich air disaster to Man Utd history
-
Record January window for transfers despite drop in spending
-
'Burned inside their houses': Nigerians recount horror of massacre
-
Iran, US prepare for Oman talks after deadly protest crackdown
-
Winter Olympics opening ceremony nears as virus disrupts ice hockey
-
Mining giant Rio Tinto abandons Glencore merger bid
-
Davos forum opens probe into CEO Brende's Epstein links
-
ECB warns of stronger euro impact, holds rates
-
Famine spreading in Sudan's Darfur, warn UN-backed experts
-
Lights back on in eastern Cuba after widespread blackout
-
Russia, US agree to resume military contacts at Ukraine talks
-
Greece aims to cut queues at ancient sites with new portal
-
No time frame to get Palmer in 'perfect' shape - Rosenior
-
Stocks fall as tech valuation fears stoke volatility
-
US Olympic body backs LA28 leadership amid Wasserman scandal
-
Gnabry extends Bayern Munich deal until 2028
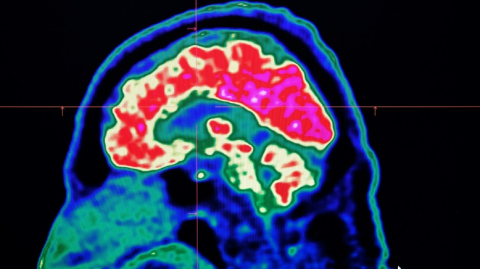
Surging nervous system disorders now top cause of illness: study
Conditions affecting the nervous system -- such as strokes, migraines and dementia -- have surged past heart disease to become the leading cause of ill health worldwide, a major new analysis said on Friday.
More than 3.4 billion people -- 43 percent of the global population -- experienced a neurological condition in 2021, far more than had previously been thought, the analysis found.
The study was carried out by hundreds of researchers led by the US-based Institute for Health Metrics and Evaluation (IHME), which has become a global reference for health statistics.
Lead study author Jaimie Steinmetz of the IHME said the results showed that nervous system conditions are now "the world's leading cause of overall disease burden".
Cases of these conditions have soared by 59 percent in the last three decades, she said, with the increase mainly driven by the fact that the world's population was ageing and growing fast.
The researchers looked at how 37 different neurological conditions affected ill health, disability and premature death across 204 countries and territories from 1990 to 2021.
This data was used to estimate how many years of healthy life were lost to each condition, called disability-adjusted life years (DALYs).
More than 443 million years of healthy life were lost to nervous system disorders globally in 2021, an 18-percent increase from 1990, the study found.
However, if the population's age and growing size was adjusted for, DALYs and deaths from these conditions actually fell by around a third, the researchers said.
Stroke, which was previously counted as a heart disease, was by far the worst neurological condition analysed, accounting for 160 million years of healthy life lost.
It was followed by a form of brain damage called neonatal encephalopathy, migraine, dementia including Alzheimer's disease, nerve damage from diabetes, meningitis and epilepsy.
Cognitive impairment from Covid-19 ranked 20th.
The main reason that nervous system conditions surpassed cardiovascular disease in the latest analysis was a recent World Health Organization classification change that moved stroke into the neurological category, Steinmetz told AFP.
The massive number of healthy years lost from these conditions was partly because several can kill children under five, such trauma during birth leading to neonatal encephalopathy, asphyxia or meningitis, she said.
"Because deaths occur at a young age, this creates a large contribution to years of life lost," she added.
Children accounted for nearly a fifth of all healthy years lost, the study found.
- 'Growing very fast' -
More than 11 million people died from the 37 neurological conditions in 2021, according to the study in The Lancet Neurology journal.
However cardiovascular disease remained the leading cause of death, killing 19.8 million people worldwide in 2022, the IHME said last year.
The most common neurological disorders were tension headaches and migraines.
The quickest-growing condition was nerve damage called diabetic neuropathy from soaring cases of diabetes.
Most of these conditions have no cure.
But there are ways to lessen the risk, including reducing rates of high blood pressure, diabetes and alcohol consumption, the researchers said.
They called for much more to be done to prevent, treat and rehabilitate the disorders, which disproportionately affect poorer countries.
"The worldwide neurological burden is growing very fast and will put even more pressure on health systems in the coming decades," warned study co-author Valery Feigin.
E.Paulino--PC